Utilising a guided implant approach for reproducible results

By Nick Fahey

5th September 2024

5 minute read

In: ,

In today’s litigious society, dental professionals must ensure they possess the necessary skills and confidence when undertaking complex treatments like dental implants. Nick Fahey says comprehensive training and extensive experience are essential to justify their clinical decisions and effectively navigate potential regulatory scrutiny.

Guided surgery supports implant outcomes and provides an extra layer of protection for clinicians. It forces practitioners to look at the three-dimensional anatomy, including the volume, character, and nature of the bone, the thickness of the soft tissue, and the distances available for implant placement. If an anatomically correct diagnostic wax-up is used for the planning, the ideal implant position can be identified. In my opinion, the ideal depth of placement is an element of planning that is poorly understood.

Guided surgery, a technique that has never been more accessible, is now supported by virtually every implant company through partnered software. This widespread availability makes it easier than ever for clinicians to adopt a guided approach. For those new to the field, it’s crucial to find high-quality training that will offer a strong foundation of knowledge and skills. I invite colleagues to consider our ‘Level Up in Guided Surgery’ course with BioHorizons Camlog, which provides comprehensive teaching and mentorship. The case presentation below demonstrates the type of patient you can expect to treat after completing the training, further highlighting the accessibility and benefits of guided surgery.

Case presentation

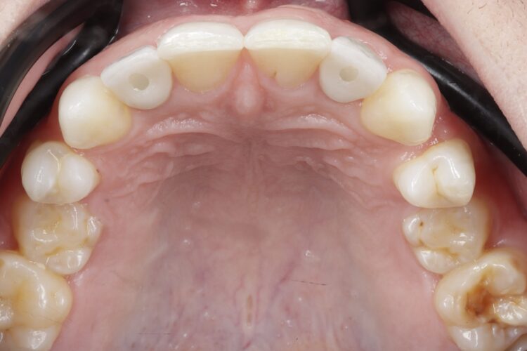
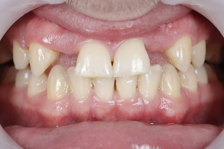
A young male presented with hypodontia and a number of missing permanent teeth. He was relatively unconcerned about his appearance and was driven more by his parents to seek treatment. As such, the patient was unsure about what he wanted from treatment and hesitant to undergo more than he absolutely needed to.

 

Clinical assessment

Upon assessment, it became clear that the patient’s tooth spacing was not ideal, and realignment would be necessary to create space for the lateral incisors. The patient had already been referred to me, and the option of no treatment had been discussed and ruled out. I presented the patient with two treatment options: Maryland Bridges or a combination of orthodontics and implant placement. The latter was my professional recommendation, and the patient provided informed consent to proceed, providing a clear understanding of his condition and the treatment options considered.

Treatment delivery

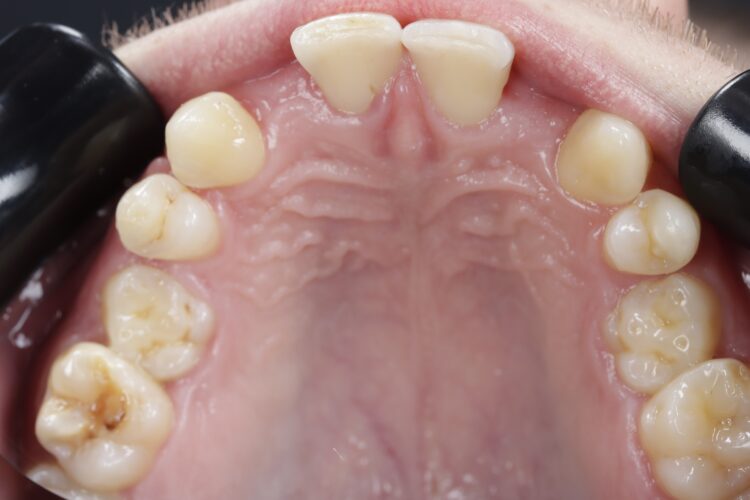
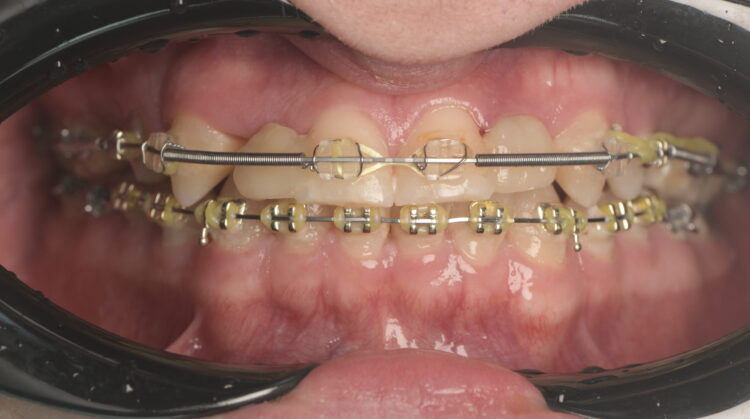
The patient visited the orthodontist for the first phase of treatment. Before the appliance was removed, I confirmed that the desired tooth positions had been achieved to ensure adequate spaces for implant placement.

A CBCT scan was taken using a Morita X800. This dataset was imported into the planning software, where it was merged with the STLs of the anatomically correct diagnostic digital wax-up and modules.  With the anatomically correct diagnostic wax-up, there was no ambiguity regarding planning the implant position, angle and depth with precision. I like to plan these types of cases myself, but it is possible to outsource the planning stage for clinicians who are new to the process and looking to increase their workflow efficiency. For this case, I wanted to build up the gingival thickness in order to improve the papillae around the implant sites. The surgical plan, therefore, included soft tissue grafting.

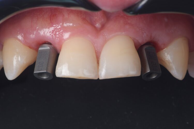
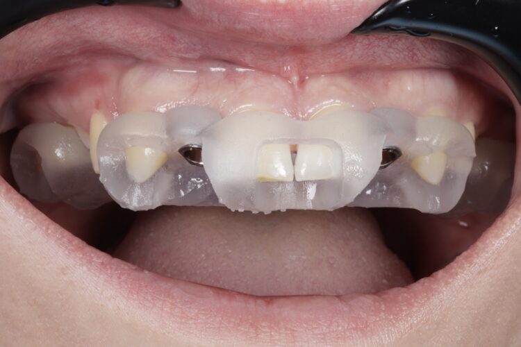
On the day of surgery, a split-thickness envelope flap was raised. Two CONELOG® Progressive-Line implants were placed through the surgical guide in the pre-determined lateral incisor positions. Soft tissue augmentation was performed simultaneously with the implant placement, and the site was sutured and closed without tension. The implants were immediately loaded using provisional crowns that were pre-fabricated in the lab.

The CONELOG implants were selected because they provide a very stable connection and feature a geometry that facilitates high primary stability, which is important when placing immediate implants. They also integrate very successfully – we have had better results with these implants than with other products that are available. I also appreciate the simplicity of the keyless guided surgery kit.

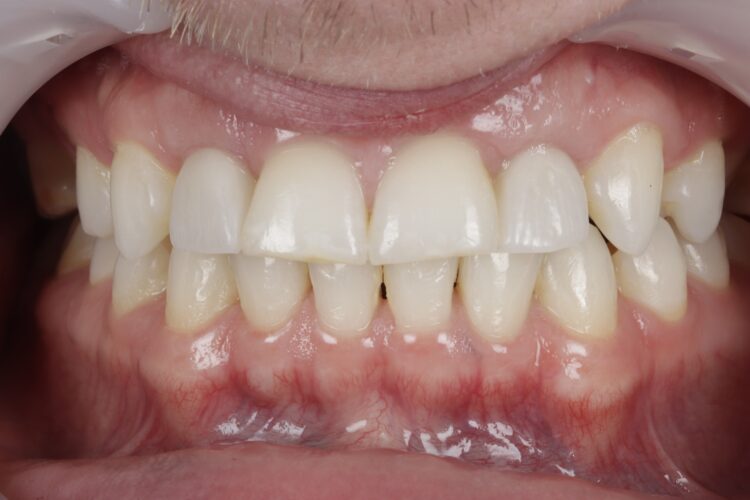
Case outcome

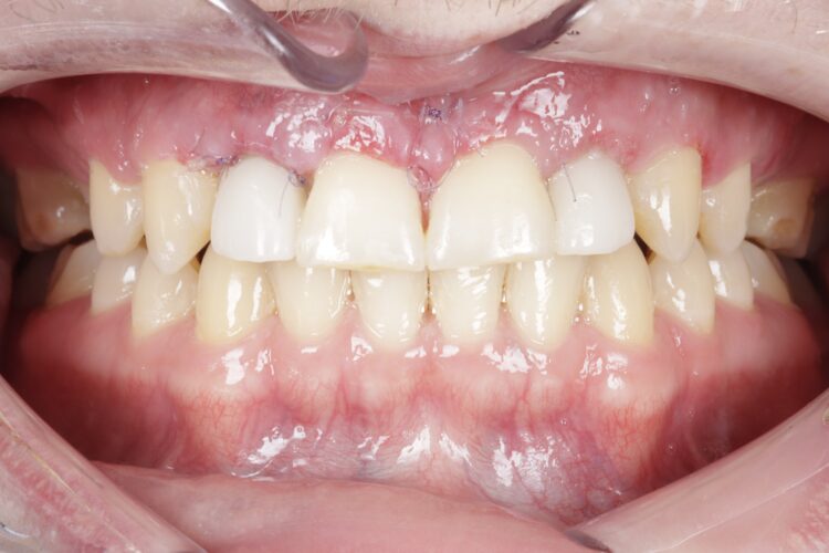
Both the patient and I were very happy with the outcome in this case. Given the patient’s reluctance towards excessive treatment, he was not willing to undergo any further procedures such as composite edge bonding or veneers, which could have enhanced the aesthetic result. However, he was more than satisfied with the replacement of his missing lateral incisors, and while he understands that more implants will be needed in the future when the remaining deciduous teeth are lost, he was happy to postpone that treatment for now.

This case presentation shows a real-life result of the kind of treatment we deliver every day in our clinic. It also demonstrates how a guided workflow allows us to place implants exactly as planned, making the process easier and more efficient.

Discussion

Planning using a guided surgery workflow makes it possible to carry out a virtual surgery on a patient. It does require some training and experience to achieve reproducible results, but a guided approach removes a lot of the ambiguity that implant cases can present. Once you get your head around the workflow, you won’t want to place implants any other way – and your patients won’t want it done any other way either.

When upskilling in order to move into guided surgery, it’s important to take baby steps – don’t go straight to complex cases, build up to them gradually. It is necessary to learn the materials and techniques first.

When upskilling in order to move into guided surgery, it’s important to take baby steps – don’t go straight to complex cases, build up to them gradually. It is necessary to learn the materials and techniques first. Finding a good mentor is also beneficial, as you have someone to share cases with and ask questions of. Once you and your team are familiar with materials and workflow, this makes it much easier to achieve consistently good results for the patient.

For more details about the Level Up In Guided Surgery course, please visit education.theimplanthub.com.

 

Article feedback

Article Author

Dr Nick Fahey BDS, Mclin.Dent (Pros) MRD RCS(Ed), FRACDS and MFDS RCS (Eng.) has an interest in all aspects of dentistry related to dental implants and fixed and removable prosthodontics. As a pioneer in computer-guided surgery, Nick has taught a generation of dentists about guided surgery and has been a KOL in this field for many companies. He is particularly interested in computer-guided surgery and guided surgical navigation for simplification of surgical placement of dental implants and has authored a textbook called “Guided Surgery. Making Implant Placement Simpler”. Nick is also a co-director of the FitzFahey Academy. Aside from his teaching and mentoring commitments, Nick works as a Specialist in Prosthodontics and is the Principal Dentist of Woodborough House Dental Practice in West Berkshire.

In: ,

Share

Close Share Popup Module
The Implant Hub from Biohorizons
Privacy Overview

This website uses cookies so that we can provide you with the best user experience possible. Cookie information is stored in your browser and performs functions such as recognising you when you return to our website and helping our team to understand which sections of the website you find most interesting and useful.