Dental implant rehabilitation for a patient with hypodontia

By Nick Fahey

11th November 2024

4 minute read

In: , ,

Nick Fahey showcases the successful interdisciplinary dental implant rehabilitation of a 27-year-old with hypodontia, combining orthodontic alignment and implant placement to resolve functional and aesthetic challenges.

Hypodontia is a developmental condition in which one or more teeth fail to develop. This case report details the dental implant rehabilitation of a 26-year-old male patient with hypodontia who was missing multiple teeth and underwent orthodontic treatment followed by implant placement in the lateral incisor regions. The case was also showcased during a live surgical demonstration, highlighting its clinical and aesthetic challenges.

Case presentation

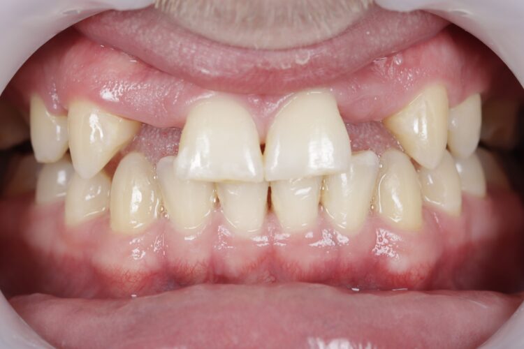
The patient, now 27, presented with multiple missing teeth due to congenital hypodontia. He was missing four teeth in the upper jaw, particularly the lateral incisors. The patient had undergone orthodontic treatment before implant placement to optimise the spacing for the implants in the upper right two (UR2) and upper left two (UL2) regions.

 

Treatment plan

The patient was presented with three treatment options:

  1. Do nothing and live with the missing teeth.
  2. Bridges or dentures as a prosthetic option.
  3. Orthodontics and implant therapy for a complete solution.

The patient chose the most comprehensive treatment plan—orthodontics followed by dental implants.

Treatment process

Orthodontic preparation

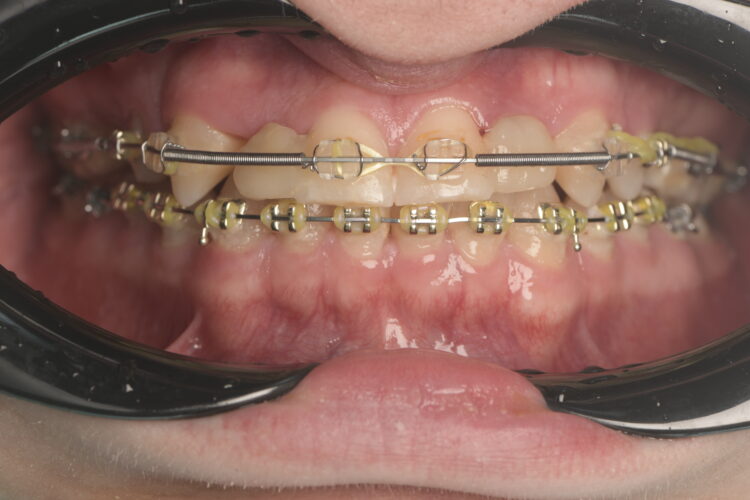
The orthodontist moved the patient’s teeth into an ideal position, ensuring proper alignment and sufficient space for the implants in the lateral incisor regions. This process took five years, due to the COVID-19 pandemic and the patient’s work commitments, during which time the braces were reviewed and adjusted as necessary.

Pre-surgical workup (December 2022)

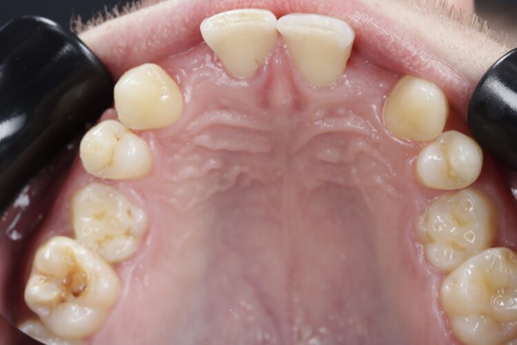
After completing orthodontic treatment, the patient attended a workup appointment, which included a CT scan, intraoral scans and pre-surgical photos and measurements.

Implant surgery (May 2023)

The implant surgery was performed in May 2023 and was filmed live as part of a surgical demonstration for the delegates on a guided surgery course being run by the Fitz Fahey Academy. Implants were placed in the UR2 and UL2 spaces with simultaneous hard and soft tissue grafting. Following the surgery, the patient was provided temporary teeth and instructed to avoid putting undue pressure on the implants during healing.

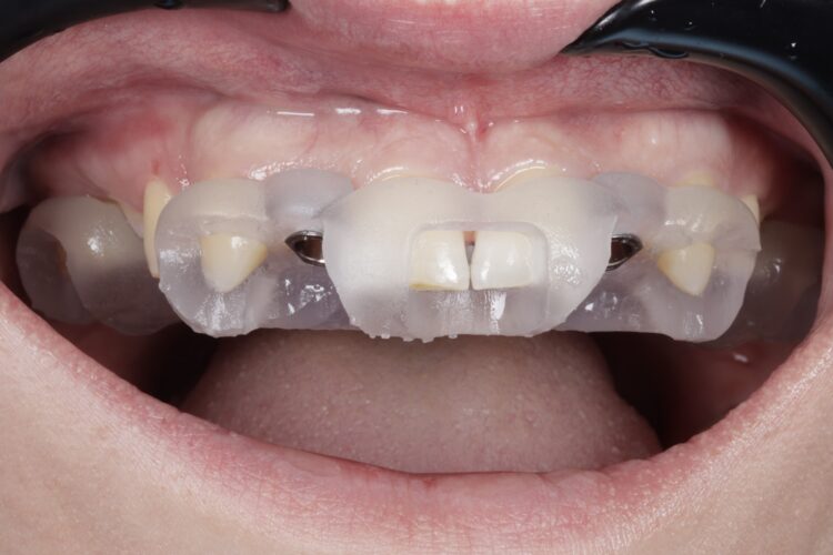
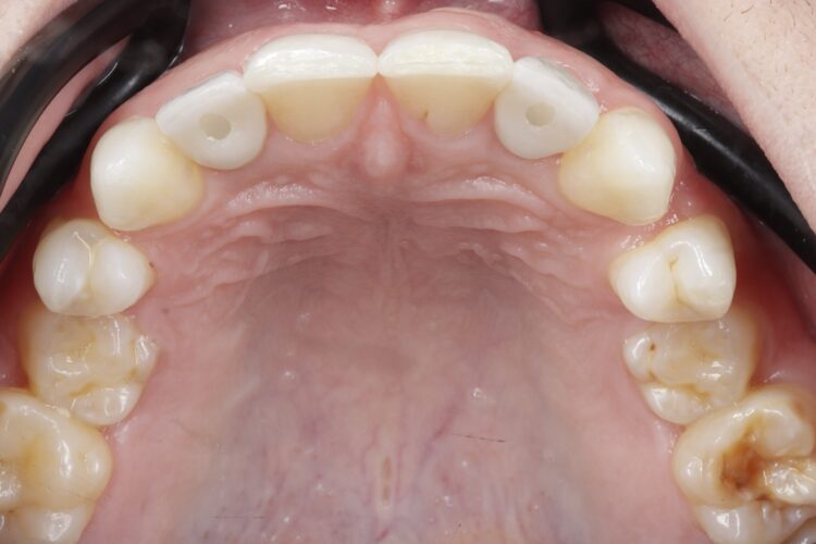
Post-surgical healing and impressions (August 2023)

A week after the surgery, the patient was seen for a healing review, during which X-rays were taken and sutures were removed. After sufficient healing, the patient returned for an impression appointment, where the temporary teeth were removed and scans were taken to fabricate the final crowns.

Teeth whitening (September-November 2023)

Before placing the final crowns, the patient opted for a teeth whitening procedure to ensure the new crowns matched a brighter shade. The whitening was an at home procedure and was reviewed in November 2023 before a final shade match was taken.

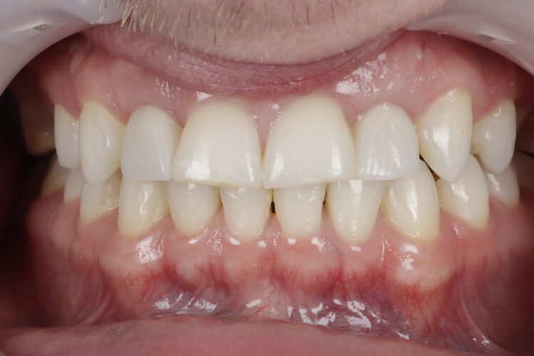
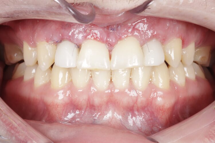
Final crowns placement (November 2023)

The final implant crowns were fitted in November 2023. There was a slight delay due to the patient postponing some appointments and undergoing whitening treatment.

Outcome

The patient achieved an aesthetically pleasing and functional result and he expressed satisfaction with the outcome.

The case was particularly rewarding for the dental team, as it was aesthetically demanding and showcased during a live demonstration.

The case was particularly rewarding for the dental team, as it was aesthetically demanding and showcased during a live demonstration. The clinical skill required to achieve optimal aesthetics was evident in the final result.

Discussion

This case highlights the complexity of treating hypodontia, where interdisciplinary collaboration between orthodontics and implantology is crucial for success. The patient’s treatment journey underscores the importance of careful planning, from creating an orthodontic space to precise implant placement and aesthetic finishing with teeth whitening. The live demonstration element added a layer of visibility to the case, showcasing it as an educational tool for fellow surgeons.

 

This case exemplifies how dental implants can effectively restore both function and aesthetics in patients with congenital hypodontia. Combining orthodontic alignment, implant placement and teeth whitening provided the patient with a long-term solution and enhanced his oral health and confidence.

For more details about Nick Fahey’s Level-Up In Guided Surgery course, with Part 1 starting in March 2025, please visit education.theimplanthub.com.

 

Article feedback

Article Author

Dr Nick Fahey BDS, Mclin.Dent (Pros) MRD RCS(Ed), FRACDS and MFDS RCS (Eng.) has an interest in all aspects of dentistry related to dental implants and fixed and removable prosthodontics. As a pioneer in computer-guided surgery, Nick has taught a generation of dentists about guided surgery and has been a KOL in this field for many companies. He is particularly interested in computer-guided surgery and guided surgical navigation for simplification of surgical placement of dental implants and has authored a textbook called “Guided Surgery. Making Implant Placement Simpler”. Nick is also a co-director of the FitzFahey Academy. Aside from his teaching and mentoring commitments, Nick works as a Specialist in Prosthodontics and is the Principal Dentist of Woodborough House Dental Practice in West Berkshire.

In: , ,

Share

Close Share Popup Module
The Implant Hub from Biohorizons
Privacy Overview

This website uses cookies so that we can provide you with the best user experience possible. Cookie information is stored in your browser and performs functions such as recognising you when you return to our website and helping our team to understand which sections of the website you find most interesting and useful.