Case review: Immediate implant placement into two molar sockets

By Alex Payne

28th May 2025

5 minute read

In: , ,

Dr Alex Payne reflects on a recent case to demonstrate the importance of selecting the right implant and surgical technique for successful and predictable outcomes.

Introduction

Immediate placement of implants into fresh extraction sockets has been shown to deliver good outcomes. The literature has shown good implant survival rates, as well as acceptable margin bone loss, gingival recession and aesthetics.[i] In particular, there is evidence that immediate implants in molar sites also leads to predictable outcomes and high success rates.[ii] The same study suggests that grafting around the implant in these situations and using a contoured healing abutment can further reduce resorption of the bone.

The below case demonstrates the successful implementation of immediate implant placement in fresh molar extraction sockets.

Presentation

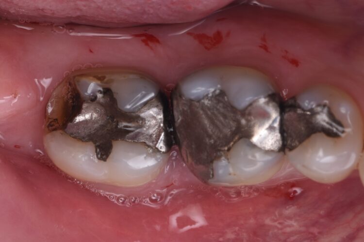
A 57-year-old male patient presented by referral with two failing molars – the LR6 and LR7. The patient had a clear medical history, and both molars exhibited extensive caries and heavy restorations.

Treatment planning

After thorough discussion, the patient was presented with two options: deep marginal elevation combined with root canal treatment or implant placement. The patient opted for implants, expressing a preference for a long-term fixed solution.

Given the absence of acute infection and the availability of adequate bone, we decided on immediate implant placement with delayed loading for both sites. Immediate placement is preferred, as maintaining the existing hard and soft tissue architecture is far more predictable than attempting to rebuild it later.

A guided surgical approach was selected, specifically a sleeveless guide, to make use of the precision that it affords in such cases. Dentiq software from 3DII (Dentiq Guide) was used to plan treatment, which allows for precise implant positioning. The surgical guide was then printed on a Phrozen Mini Sonic 8kS, ensuring high accuracy in execution.

Surgical treatment

The failing teeth were sectioned and extracted atraumatically to preserve the surrounding bone. The sockets were thoroughly debrided using Lucas curettes to remove any residual infection or granulation tissue.

Dental implants were then placed using the sleeveless surgical guides. The guided kit from CONELOG® is fantastic, as the screw-in carriers allow for very accurate positioning. After verifying the implant placement, the carriers are replaced and can be used to maintain patency of the implant opening while the graft material is packed into the site.

MinerOss® Putty allograft (BioHorizons Camlog) is routinely selected for these cases. The handling properties are exceptional, making placement easy. Additionally, due to its 10% collagen composition, integration is exceptional, avoiding the ‘popcorn’ effect seen with other materials. The graft material was packed to the bone level, again to reduce the build-up of graft material in the soft tissue.

For this case, 5.0 mm x 9.0 mm CONELOG® Progressive-Line implants were utilised, which is a highly favourable system for immediate placement. The design features that make it particularly effective include:

  • Aggressive thread design for high primary stability.
  • Promote® (sand blasted, acid etched) surface treatment, promoting rapid osseointegration.
  • Grade 4 titanium, commercially pure titanium offering predictable integration.

CONELOG® Progressive-Line implants are especially well-suited for molar sites due to the conical connection with platform switching. When combined with the correct depth of placement, this ensures stable crestal bone levels over time. One of the standout features is the availability of varying sizes, including a 5mm implant that allows for a conical connection while maintaining a less aggressive emergence profile compared to other systems.

Custom healing abutments were constructed using a temporary abutment and composite, polished to a high lustre using silicone wheels. The patient was given standard post-operative instructions to support healing of the surgical site in the months to come.

Restorative treatment

After a healing period of three months, the Medit i700 intraoral scanner was used to record the implant position and soft tissue profiles, ensuring optimal prosthetic planning and a precise restoration.

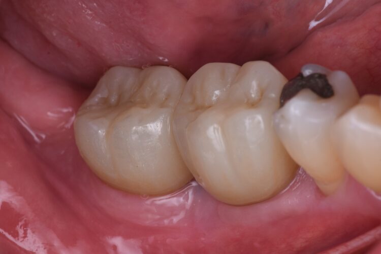
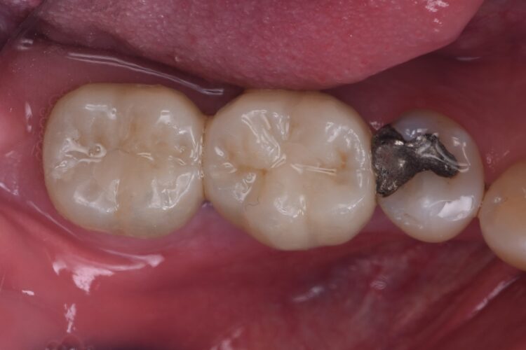
The implant crowns were constructed using custom-milled titanium abutments with a zirconia crown. Care was taken to ensure that any zirconia in contact with the tissues was polished rather than glazed to promote optimal soft tissue health. As seen in the post-treatment photos and x-rays, the hard and soft tissues have been well maintained, with excellent soft tissue thickness and a stable band of keratinised tissue achieved.

Outcome and discussion

The immediate placement of the CONELOG® Progressive-Line implants in both molar sockets proceeded smoothly, achieving excellent primary stability. This approach not only preserved the existing bone and soft tissue but also provided a solid foundation for future prosthetic restoration. The use of MinerOss® Putty (allograft) played a crucial role in maintaining bone volume and soft tissue integrity, further contributing to the long-term success of the implants.

Immediate placement, when feasible, offers significant advantages in simplifying long-term maintenance compared to extensive hard and soft tissue reconstruction. The CONELOG® Progressive-Line implant system continues to be a reliable choice, particularly in molar sites, due to its excellent design and adaptability.

This case highlights the importance of case selection, grafting material and implant choice in optimising long-term outcomes in implant dentistry.

To discuss how you can implement CONELOG® Progressive-Line into your implant practice contact our team.  

For all your implant educational needs, visit our dedicated education website where you can find a range of courses to suit you.

*Article originally published online in the April issue of The Dentist magazine.

References

[i] Chen R, Xu J, Wang S, Duan S, Wang Z, Zhang X, Tang Y. Effectiveness of immediate implant placement into defective sockets in the esthetic zone: A systematic review and meta-analysis. J Prosthet Dent. 2025 Feb;133(2):411-426. doi: 10.1016/j.prosdent.2024.02.022. Epub 2024 Mar 16. PMID: 38493065.

[ii] Ragucci, G.M., Elnayef, B., Criado-Cámara, E. et al. Immediate implant placement in molar extraction sockets: a systematic review and meta-analysis. Int J Implant Dent 6, 40 (2020). https://doi.org/10.1186/s40729-020-00235-5

Article feedback

Article Author

Dr Alex Payne practises at Greasby Dental Centre in the Wirral. He has completed an Implant Diploma with the Royal College of Surgeons and is the Clinical Lead of the Smilefast Implant Diploma.

In: , ,

Share

Close Share Popup Module
The Implant Hub from Biohorizons
Privacy Overview

This website uses cookies so that we can provide you with the best user experience possible. Cookie information is stored in your browser and performs functions such as recognising you when you return to our website and helping our team to understand which sections of the website you find most interesting and useful.