Removing the ‘microgap’ and restoring function posteriorly with tissue level implants

By Dr Toheed Hamid

16th June 2021

3 minute read

In:

Dr Toheed Hamid presents a case for why tissue level implants can be a suitable and evidence-based choice for posterior dental implants.

This 53-year-old, medically fit and well male patient attended complaining of pain and tenderness from his lower left second molar. Clinical and radiographic examination showed this molar tooth to be broken down and unrestorable. It was decided that this tooth required extracting and the patient was keen to replace this gap with a dental implant.

Tissue level implants: the case

The tooth was extracted atraumatically and the socket debrided thoroughly to remove any remnants of infected tissue. The socket was then left to heal for three months in order to allow for bony infiltration.

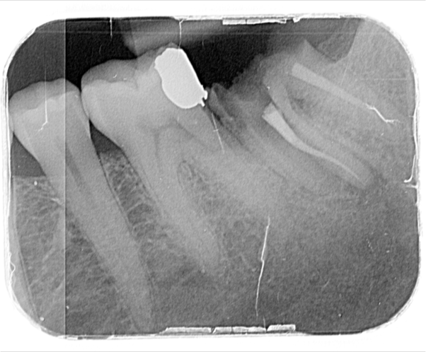
Following three months of healing, a CBCT scan was taken to assess bone dimensions and proximity of nearby anatomical landmarks, namely the inferior dental nerve and the lingual undercut of the mandible.

3-D radiographic examination showed sufficient bone available for the placement of a 5.8mm x 9mm BioHorizons Camlog tapered tissue level implant. Surgical placement of this implant involved a two-sided flap and there was no need for hard or soft tissue augmentation. The implant was placed with excellent primary stability and therefore a single-staged approach was followed with a healing abutment being placed at implant placement.

The implant was then left to heal and integrate for three months. No temporary prosthesis was required during this phase.

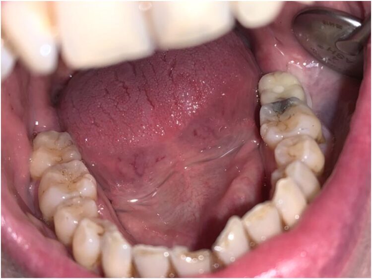
After three months the healing abutment was then removed. The presence of the healing abutment facilitated the development of an emergence profile from the implant platform during the healing phase. A fixture level impression was taken and a screw-retained crown with the screw emerging in the mid-occlusal area was fabricated. The crown was made on a zirconia framework on a hybrid base abutment layered with e.max ceramic with ultra-polished zirconia subgingivally.

The occlusal profile was carefully contoured to avoid overloading of the implant, but of course to still provide functional benefit.

The decision to choose a tissue level implant here will aid the long-term cleansability of this implant prosthesis and the peri-implant soft tissues. Tissue level implants take the so-called ‘microgap’ away from the level of the bone and have long been considered as favourably designed implants in order to maintain peri- implant bone levels and long-term implant health. The use of tissue level implants in the posterior zone where aesthetics are not crucial has been a popular approach of many implant dentists in the past due to the above mentioned benefits.

 

Tissue level implants: the result

This case beautifully demonstrates the emergence profile that the tissue level implants facilitate along with the ease of cleansability for the patient, even when the prosthesis is placed posteriorly in difficult to reach areas.

Although many studies have suggested that there is no statistical difference between bone level implants and tissue level implants with regards to long-term crestal bone stability, the adjustment of the microgap to be away from the bone level in a vertical dimension certainly facilitates in the reduction of bone remodelling long-term around implants with this specific design. In my opinion, this makes them a very suitable and evidence-based choice for posterior dental implants in the correct cases.

For more information about BioHorizons Camlog implant solutions complete the form below or to discover courses delivered by Toheed Hamid click here.

 

Article feedback

Article Author

BDS (Bristol 2008) DipImplantology (Bristol 2018) Toheed graduated from the University of Bristol in 2008 and limits his clinical time to implants and oral surgery only. He has developed a reputation for being an empathetic, thorough and well-mannered dentist. Over the past 5 years, Toheed has held the role of Foundation Dentist Trainer with great enthusiasm. In this role he is responsible for training, mentoring and guiding newly-qualified dentists during their transition from university to general practice. Toheed has furthered his postgraduate education by undertaking 2 years of the MSc in Dental Implantology course at the University of Bristol as well as attending numerous advanced implant training courses. He has been placing implants since 2014 and spends most of his time travelling between practices placing and restoring implants. Toheed provides a full range of implant treatments, including full-arch treatments and complex hard and soft tissue grafting. He also mentors dentists who are new to dental implantology and helps their development and growth through his own ‘starter’ course for dental implantology - www.learnimplants.com.

In:

Share

Close Share Popup Module